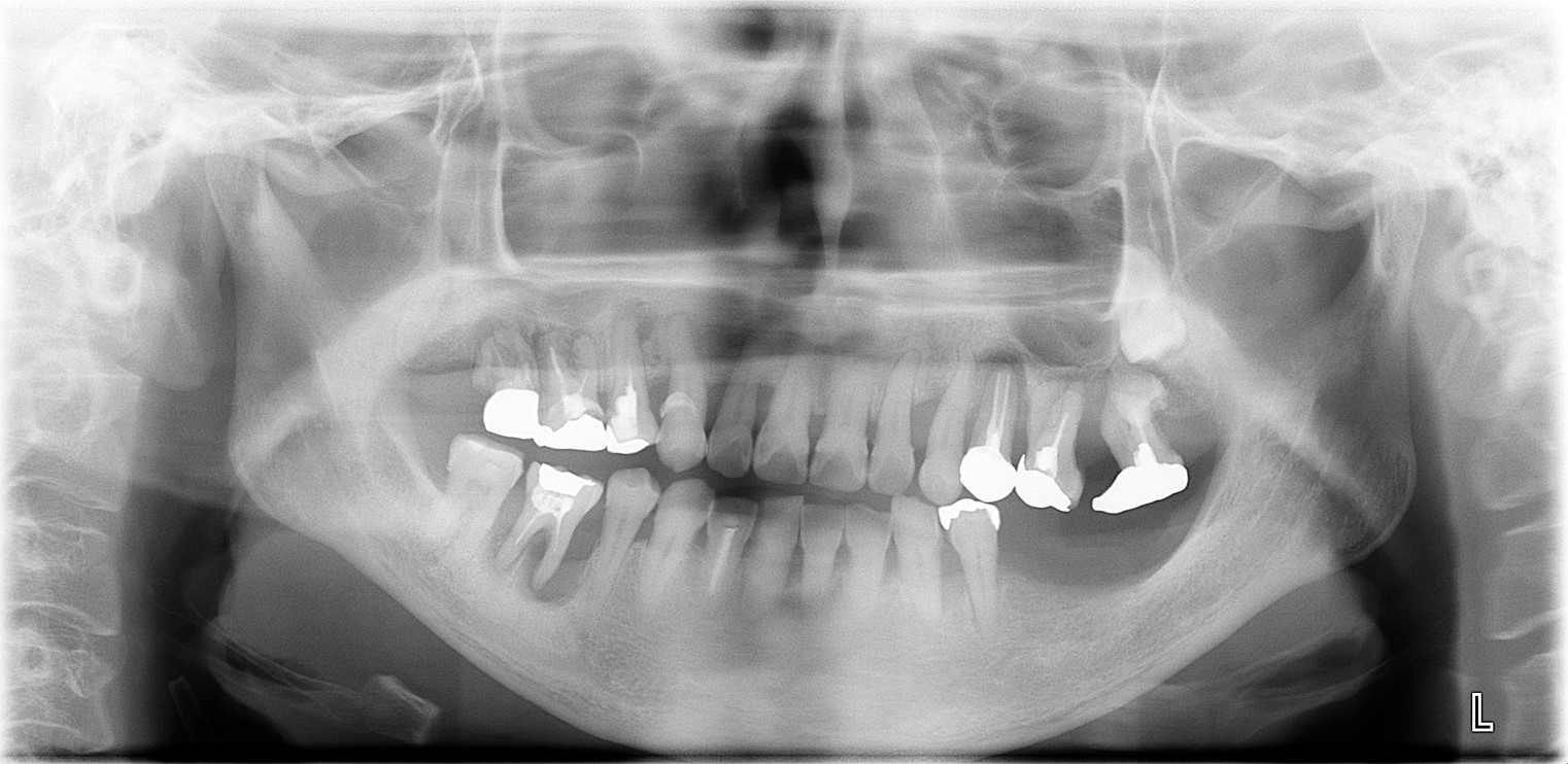
case01
症例1
| 治療ケース |
上顎右1番:インプラント 1本 上部構造:オールセラミッククラウン 上顎右2番:オールセラミッククラウン |
|---|---|
| 症状 |
上顎右上1番のクラウンが離脱しており、歯の根も破折。 上顎右上2番、失活(神経が死ぬ)しており変色が見られる。 |
| 治療結果 | 上顎右1番の治療にインプラントに選択されたことで、他の歯に影響を与えることなく咬合機能の回復ができました。また、ホワイトニングを併用して、上顎右2番にもオールセラミッククラウンを装着。全体的な審美性も確立できました。 |
| 症状 |
歯の根が折れてしまい、前歯で物が噛めなくなってしまいました。 隣の歯の変色も悪く、気になっています。 |
| 治療方法 |
まずは歯周病の治療に集中し、歯茎の状態が安定してから抜歯。歯槽骨の再生を促すGBR(骨造成)を適応しました。 その後はインプラントの埋入手術を行い、上部構造にはオールセラミッククラウンを装着。ホワイトニング治療も並行して行いました。 |
| 治療開始月 | 2015年11月 |
| 治療費用(税込) |
|
| 治療期間 | 1年 |
| メインテナンスの頻度 | 3ケ月毎 |
| 治療を行う上での注意点(リスク / 副作用) |
外科手術を行う上で、下記のような症状が出るケースがあります。 ・神経を圧迫あるいは損傷することによる麻痺 ・血管損傷による多量出血 ・術後の腫れと内出血によるあざ (治療は全て、各患者さま固有の症例に対応したものです。他の方への治療結果を保証するものではないことをご了承ください) |
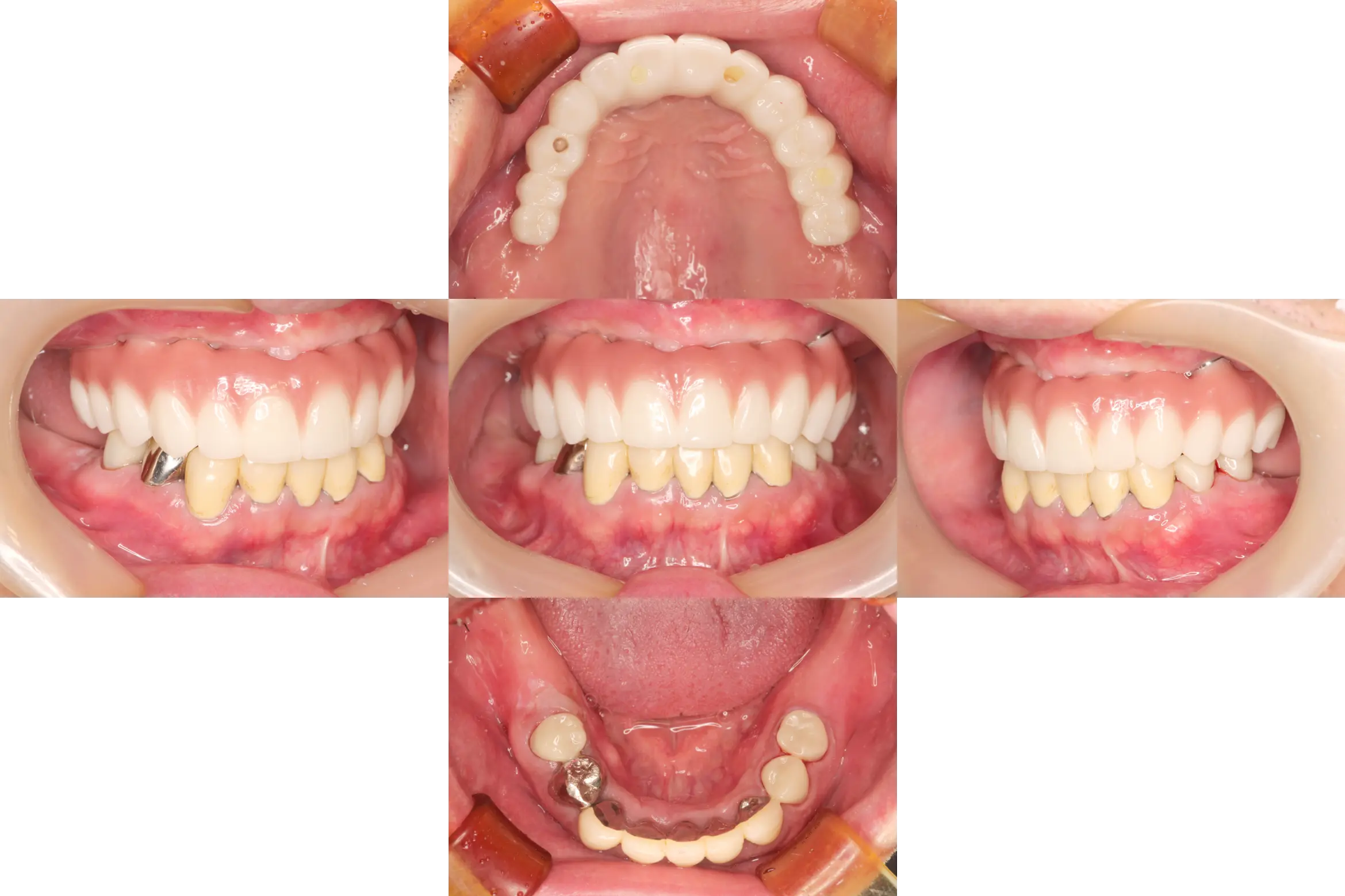
case02
症例2
| 治療ケース |
下顎:オールオン4 歯科麻酔科医管理下にて静脈内鎮静・局所麻酔を行い、4本のインプラントを埋入し即時負荷。当日中に12本のプロビジョナル(仮歯)を装着。7ケ月後に上部構造ハイブリッドセラミック装着。 上顎:オールオン5 歯科麻酔科医管理下にて静脈内鎮静・局所麻酔を行い、残存歯5本を抜歯し、当日に5本のインプラントを埋入し即時負荷。当日中に12本のプロビジョナル(仮歯)を装着。5ケ月後に上部構造ハイブリッドセラミック装着。 |
|---|---|
| 症状 | 入れ歯が合わなくなってしまいました。 |
| 治療結果 | 遠方から、入れ歯が合わないという主訴でご来院。オールオン4,5で即時負荷を行う事により、当日中にプロビジョナル(仮歯)が装着でき、すぐに食事ができるようになり、大変満足されています。 |
| 治療開始月 | 2019年3月 |
| 治療費用(税込) |
|
| 治療期間 | 約8ヶ月 |
| メインテナンスの頻度 | 3ケ月毎 |
| 治療を行う上での注意点(リスク / 副作用) |
外科手術を行う上で、下記のような症状が出るケースがあります。 ・インプラント埋入手術後の出血、腫れ、痛みを伴う可能性。内出血が皮膚に出現する可能性。 ・骨の状態により、インプラント埋入手術時に即時負荷が出来ない可能性。 ・歯科医師による術後の指導を受け入れて頂けない場合、インプラント体ロストの可能性。 (治療は全て、各患者さま固有の症例に対応したものです。他の方への治療結果を保証するものではないことをご了承ください) |
case03
症例3
| 治療ケース |
歯周病治療 審美歯科 インプラント1本 上部構造ハイブリッドセラミック |
|---|---|
| 症状 | 重度の歯周病で来院され、痛みを訴えられた。 |
| 治療結果 | 審美的にも機能的にも良好になり、今後の全身疾患予防にも、見た目のアンチエイジングにも繋がった。
笑顔がより一層素敵になられた。 ※治療結果は患者様によって個人差があります。 |
| 治療方法 |
まず、プラークコントロール指導と徹底的な歯周病治療を行い、全身疾患との兼ね合いをしっかりと指導。 そこから、審美歯科と右側第一大臼歯1本インプラント治療へ。(歯列叢生のため数本抜歯しブリッジへ) 以前、他院で治療を中断されていたので、最後まで治療を継続されるようにコミュニケーションをしっかりとり、メインテナンスの重要性をしっかりとお伝えした。 |
| 治療費用(税込) |
前歯上下セラモメタルクラウン12本:1,584,000円(税込)
|
| 治療期間 | 2年6ヵ月 |
| メインテナンスの頻度 | 3ケ月毎 |
| 治療を行う上での注意点(リスク / 副作用) |
全身疾患は問題なく、オペもすすめられた。外科手術により、腫れや一時的に内出血を起こす場合がある事を伝えておく。 治療後、インプラントや補綴物を守るためにナイトガード装着。 メインテナンスの重要性をしっかりお伝えした。 |
case04
症例4
| 治療ケース |
上顎左右サイナスリフトPRP使用 上下顎前歯GBRベニアグラフト,PRP使用 上顎8本12歯インプラント 下顎7本12歯インプラント 上部構造ハイブリッドセラミック(咬合確保・審美歯科) |
|---|---|
| 症状 | 事故により歯を喪失され、体調不良もあり歯科医院への通院ができなかった。 |
| 治療結果 | 咬合を確保した事により、しっかり食事も摂取しやすくなり、体調良好に繋がった。審美的にも改善し見た目も健康になられ、エイジングケアに繋がった。 ※治療結果は患者様によって個人差があります。 |
| 治療方法 | 口腔の健康が全身の健康に繋がることをしっかりとお伝えし残存歯すべて抜歯、前歯部上顎洞に対して大がかりな骨造成を経てインプラント治療により咬合を確保した。 |
| 治療費用(税込) | 上顎左右サイナスリフト:528,000円(税込)
|
| 治療期間 | 2年 |
| メインテナンスの頻度 | 3ケ月毎 |
| 治療を行う上での注意点(リスク / 副作用) |
骨造成やインプラント外科処置後の腫脹、一時的な内出血が起こる事の可能性をしっかりと説明。しばらく咬合されていなかったので、咬合確保時の顎関節痛がある可能性を伝える。 上部構造、インプラント体の破折予防のため、ナイトガード装着。 インプラント周囲炎予防のため、定期的なメインテナンスの必要性。 |
case05
症例5
| 治療ケース | 下顎:オールオン4 歯科麻酔科医管理下にて静脈内鎮静・局所麻酔を行い、4本のインプラントを埋入し即時負荷。当日中に12本のプロビジョナル(仮歯)を装着。7ケ月後に上部構造オールセラミック装着。 |
|---|---|
| 症状 | さし歯が取れて入れ歯が合わなくなってしまいました。 |
| 治療結果 | 遠方から、入れ歯が合わないという主訴でご来院。オールオン4で即時負荷を行う事により、当日中にプロビジョナル(仮歯)が装着でき、すぐに食事ができるようになり、大変満足されています。 |
| 治療開始月 | 2022年4月 |
| 治療費用(税込) |
|
| 治療期間 | 約7ヶ月 |
| メインテナンスの頻度 | 3ケ月毎 |
| 治療を行う上での注意点(リスク / 副作用) |
外科手術を行う上で、下記のような症状が出るケースがあります。 ・インプラント埋入手術後の出血、腫れ、痛みを伴う可能性。内出血が皮膚に出現する可能性。 ・骨の状態により、インプラント埋入手術時に即時負荷が出来ない可能性。 ・歯科医師による術後の指導を受け入れて頂けない場合、インプラント体ロストの可能性。 (治療は全て、各患者さま固有の症例に対応したものです。他の方への治療結果を保証するものではないことをご了承ください) |
case06
症例6
| 治療ケース | 下顎:右下6 静脈内鎮静・局所麻酔を行い、1本のインプラントを埋入(1回法)。3か月後にプロビショナル装着。5ケ月後に上部構造オールセラミック装着。 |
|---|---|
| 症状 | 右下6欠損。 |
| 治療結果 | 歯が無い所に歯を入れたいという主訴でご来院。骨質も良く良好な初期固定が得られ1次手術、2次手術を同時に行う1回法で手術を行えました、治療期間も短縮できしっかり咬めるようになった大変満足されています。 |
| 治療開始月 | 2018年11月 |
| 治療費用(税込) |
|
| 治療期間 | 約5ヶ月 |
| メインテナンスの頻度 | 3ケ月毎 |
case07
症例7
| 治療ケース | 下顎:右下7 抜歯後、骨造成(GBR)を行い 静脈内鎮静・局所麻酔を行い、1本のインプラントを埋入(1回法)。3か月後にプロビショナル装着。5ケ月後に上部構造オールセラミック装着。 |
|---|---|
| 症状 | 右下7の歯根の周りが膿んでいる。 |
| 治療結果 | 歯根の周囲が広範囲に膿んでいて抜歯が必要な状態。抜歯後、骨造成(GBR)を行い待機後、1次オペ。骨質も良く良好な初期固定が得られ1次手術、2次手術を同時に行う1回法で手術を行えました、経過も良好でしっかり咬めるようになったと大変満足されています。 |
| 治療開始月 | 2017年6月 |
| 治療費用(税込) |
|
| 治療期間 | 約10ヶ月 |
| メインテナンスの頻度 | 3ケ月毎 |
case08
症例8
| 治療ケース | 下顎:右下6 抜歯・骨造成後、静脈内鎮静・局所麻酔を行い、1本のインプラントを埋入(1回法)。4か月後にプロビショナル装着。6ケ月後に上部構造オールセラミック装着。 |
|---|---|
| 症状 | 右下6根尖性歯周炎。 |
| 治療結果 | 歯ぐきの調子が悪いとの主訴でご来院。抜歯が必要な状態であった。抜歯後骨造成を行いその後1次手術、2次手術を同時に行う1回法で手術を行いました。歯が入った後の経過も良く、安定している状態です。 |
| 治療開始月 | 2021年6月 |
| 治療費用(税込) |
|
| 治療期間 | 約12ヶ月 |
| メインテナンスの頻度 | 3ケ月毎 |
case09
症例9
| 治療ケース | 骨造成(サイナスリフト)、インプラント埋入、ファイバーポストコア、オールセラミッククラウン。 |
|---|---|
| 治療結果 | 歯の調子が悪いとの主訴でご来院。歯周病で抜歯が必要な状態であった。抜歯後、骨造成(サイナスリフト)を行い待機期間を経て1次手術、2次手術を行いプロビジョナルを装着後問題の無いことを確認して最終上部構造を装着。歯が入った後歯周病の経過も良く、安定している状態です。 |
| 治療開始月 | 2021年7月 |
| 治療費用(税込) |
|
| 治療期間 | 約20ヶ月 |
| メインテナンスの頻度 | 3ケ月毎 |
case10
症例10
| 治療ケース | 骨造成(サイナスリフト)、インプラント埋入、オールセラミッククラウン。 |
|---|---|
| 症状 | 痛み、違和感。 |
| 治療結果 | 歯の調子が悪いとの主訴でご来院。歯根破折と歯周病で抜歯が必要な状態であった。抜歯後、骨造成(サイナスリフト、GBR)を行い待機期間を経て1次手術、2次手術を行いプロビジョナルを装着。経過観察後、問題の無いことを確認して最終上部構造を装着。歯が入った後歯周病の経過も良く、安定している状態です。 |
| 治療開始月 | 2020年2月 |
| 治療費用(税込) |
|
| 治療期間 | 約15ヶ月 |
| メンテナンスの頻度 | 3ケ月毎 |
case11
症例11
| 治療ケース | インプラント埋入、オールセラミッククラウン、ファイバーポストコア、フレックスデンチャー、ボトックス注射。 |
|---|---|
| 症状 | 痛み、違和感。 |
| 治療結果 | 入れ歯の調子が悪く、他院で骨が少なくインプラント治療を断られたとの主訴でご来院。1次手術、2次手術を行いプロビジョナルを装着。上顎前歯はファイバーポストコアを築造、経過観察後、問題の無いことを確認して最終上部構造を装着。なんでもよく咬めるようになり、安定している状態です。 |
| 治療開始月 | 2023年12月 |
| 治療費用(税込) |
|
| 治療期間 | 約14ヶ月 |
| メンテナンスの頻度 | 3ケ月毎 |
case12
症例12
| 治療ケース | 骨造成(サイナスリフト、GBR、オールセラミック)。 |
|---|---|
| 治療結果 | 破折と根の先に膿が溜まっていて抜歯が必要な状態であった。抜歯後、右下顎骨造成(GBR)左上(サイナスリフト)を行い待機期間を経て1次手術、2次手術を行いプロビジョナルを装着後問題の無いことを確認して最終上部構造を装着。歯が入った後の経過も良く、安定している状態です。 |
| 治療開始月 | 2020年3月 |
| 治療費用(税込) |
|
| 治療期間 | 約12ヶ月 |
| メンテナンスの頻度 | 3ケ月毎 |
case13
症例13
-
-
歯の表面の赤と青の着色は咬み合せ確認の為の一時的なものです。
-
-
歯の表面の赤と青の着色は咬み合せ確認の為の一時的なものです。
| 治療ケース | 骨造成(GBR)、インプラント埋入、オールセラミッククラウン |
|---|---|
| 治療結果 | 歯のない所を治療したいとの主訴で来院されました。虫歯や破折で抜歯が必要な状態でした。抜歯、骨造成(GBR)を行い待機期間を経て1次手術、2次手術を行いプロビジョナルを装着後問題の無いことを確認して最終上部構造を装着。歯が入った後経過も良く、安定している状態です。 |
| 治療開始月 | 2020年10月 |
| 治療費用(税込) |
|
| 治療期間 | 約7ヶ月 |
| メンテナンスの頻度 | 3ケ月毎 |
case14
症例14
| 治療ケース | 骨造成(GBR)、インプラント埋入、オールセラミッククラウン、all on 4 |
|---|---|
| 症状 | 咬みにくい |
| 治療結果 | 歯のない所を治療したいとの主訴で来院されました。虫歯や破折で抜歯が必要な状態でした。抜歯、骨造成(GBR)を行い待機期間を経て1次手術、2次手術を行いプロビジョナルを装着後問題の無いことを確認して最終上部構造を装着。歯が入った後経過も良く、安定している状態です。 |
| 治療開始月 | 2024年7月 |
| 治療費用(税込) |
|
| 治療期間 | 約10ヶ月 |
| メンテナンスの頻度 | 3ケ月毎 |
case15
症例15
| 治療ケース | 骨造成(サイナスリフト、GBR)、インプラント埋入、オールセラミッククラウン、セラミックインレー、ハイブリッドセラミック充填(ダイレクトボンディング)、ファイバーコア、ホワイトニング |
|---|---|
| 症状 | 右上が痛い |
| 治療結果 | 右上が痛い、ブリッジの所を治療したいとの事で来院されました。骨造成(サイナスリフト、GBR)を行い待機期間を経て1次手術、2次手術を行いプロビジョナルを装着後問題の無いことを確認して最終上部構造を装着。歯が入った後経過も良く、安定している状態です。 |
| 治療開始月 | 2024年7月 |
| 治療費用(税込) |
|
| 治療期間 | 約14ヶ月 |
| メンテナンスの頻度 | 3ケ月毎 |
